مقامات ایالات متحده اعلام کردند یک کامیونِ حامل تعدادی میمون آزمایشگاهی…
مقامات ایالات متحده اعلام کردند یک کامیونِ حامل تعدادی میمون آزمایشگاهی…
نمایندگان مجلس شورای اسلامی ساعت کاری کارکنان دولت در هفته را همان ۴۴ ساعت…
مرد جوانی که در یک درگیری با زوجی سالخورده یک جوان ۲۰ ساله را به قتل رسانده…
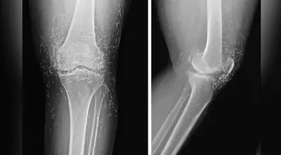
پزشکان کره جنوبی، صدها رشته نازک از طلای خالص در زانوهای زن ۶۵ساله مبتلا به…
بنا بر گزارش سازمان هواشناسی کشور امروز چهارشنبه (۷ آبان) آسمان در بیشتر نقاط…
در حالیکه بسیاری از مدارس کشور با کمبود منابع مالی برای تعمیر و نگهداری…
پیشبینی هواشناسی تهران، همدان، مشهد، شیراز، اصفهان، تبریز و رشت از ۷آبان تا…
دبیر شورای فرهنگ عمومی کشور با بیان اینکه در طول یک سال گذشته درخواستی برای…